Se l’obiettivo è preservare a lungo termine la salute di denti e mascella, una buona valutazione inizia quasi sempre con una radiografia panoramica. Ed è qui che l’ortopanoramica ha un valore enorme per ogni paziente. Offre una visione ampia dello stato del cavo orale con un’unica immagine. In questo modo, il dentista può vedere ciò che con un esame clinico tradizionale a volte è difficile individuare in tempo.
Nella pratica quotidiana, l’ortopanoramica aiuta a scoprire precocemente i problemi e a pianificare con precisione le terapie. Un buon piano significa meno imprevisti, meno rinvii e una maggiore possibilità di preservare i denti naturali. Una mascella sana e un’occlusione stabile sono la base della salute generale di ogni organismo.
Presso il centro di medicina dentale Orto Nova, l’ortopanoramica viene utilizzata obbligatoriamente come punto di partenza per valutare lo stato complessivo della bocca. Senza questa immagine non possiamo collegare con certezza i sintomi avvertiti dal paziente con i cambiamenti presenti sotto la superficie. Questo rende più semplice definire un piano terapeutico chiaro e realistico per ogni persona.
Che cos’è l’ortopanoramica e perché è utile nella diagnosi?
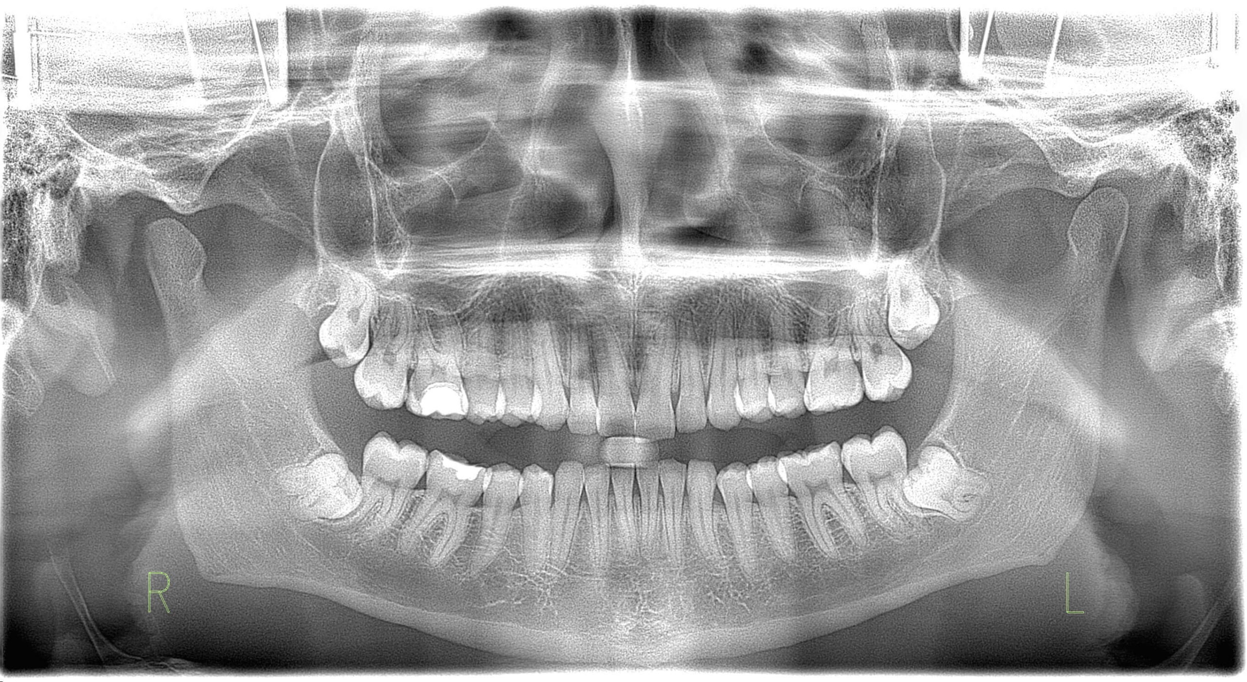
Molti pazienti si chiedono che cos’è l’ortopanoramica e a cosa serva durante la prima visita. L’ortopanoramica è una radiografia panoramica che mostra entrambe le arcate, tutti i denti, le loro radici e l’osso circostante. Mostra anche l’articolazione della mandibola e alcune parti dei seni paranasali che sono importanti per una diagnosi completa.
Il vantaggio principale dell’ortopanoramica è la sua eccezionale visione d’insieme. In un’unica immagine si possono individuare diversi potenziali problemi contemporaneamente. Questo non significa che sostituisca tutte le altre metodiche di imaging. Tuttavia, è spesso il primo passo più utile quando si pianifica un intervento più impegnativo.
A differenza delle piccole immagini di un singolo dente, l’ortopanoramica fornisce la “visione generale” e un quadro dei rapporti tra le strutture. Il dentista la usa per valutare le condizioni generali della bocca. Se si cerca la causa di sintomi poco chiari, questa radiografia è uno strumento irrinunciabile nell’odontoiatria moderna.
Quando si esegue più spesso l’ortopanoramica?

L’ortopanoramica non si esegue “tanto per”, ma quando esiste una necessità reale di una diagnosi più dettagliata. Spesso viene consigliata alla prima visita per ricostruire la storia clinica del paziente. È indispensabile anche quando si sospettano processi infiammatori non visibili a occhio nudo.
Si esegue prima di estrazioni dentarie, terapie ortodontiche o inserimento di impianti. Viene utilizzata anche quando il paziente avverte una pressione indefinita o dolore alla mandibola. In questi casi l’esame clinico non fornisce informazioni sufficienti e l’ortopanoramica chiarisce la situazione reale.
Tabella: Tipi Di Immagini Diagnostiche In Odontoiatria
| Tipo di immagine | Principale utilizzo | Che cosa mostra? |
| Ortopanoramica | Valutazione generale e prevenzione | Tutti i denti, entrambe le arcate e i seni paranasali |
| TC (CBCT) | Impianti dentali | Immagine 3D di volume e densità ossea |
| Teleradiografia | Terapia ortodontica | Profilo della testa, rapporto tra mascelle e base cranica |
| Radiografia intraorale | Cura di un singolo dente | Dettaglio di corona e radice del dente |
Ortopanoramica, tc e teleradiografia: ruoli diversi nel trattamento
Anche se l’ortopanoramica è una base importante, alcuni interventi richiedono tecnologie ancora più precise. Nella pianificazione di procedure complesse, il dentista richiede immagini aggiuntive. Ognuna ha una funzione specifica per ottenere risultati eccellenti.
Nella pianificazione implantologica, l’ortopanoramica funge da prima valutazione del “terreno”. Tuttavia, per l’inserimento dell’impianto oggi lo standard prevede l’uso della TC (CBCT). La TC offre un’immagine 3D che consente di misurare con precisione volume e densità dell’osso. Questo è fondamentale per la sicurezza del paziente e la durata dell’impianto stesso.
In ortodonzia, invece, oltre all’ortopanoramica si usa regolarmente la teleradiografia. Mentre l’ortopanoramica mostra i denti e le radici, la teleradiografia riprende il profilo della testa. Aiuta l’ortodontista ad analizzare il rapporto tra mascella superiore e mandibola rispetto alla base del cranio. Senza teleradiografia è impossibile creare un piano accurato per l’apparecchio ortodontico.
In che modo l’ortopanoramica aiuta a individuare precocemente i problemi?
Molti problemi dentali all’inizio non presentano sintomi chiari e intensi. L’ortopanoramica può rivelare cambiamenti nascosti nell’osso e nelle aree intorno agli apici radicolari. Può mostrare anche radici residue e infiammazioni silenti che possono restare attive per anni senza dolore.
Individuare presto significa una terapia più semplice e più conveniente. Quando il problema viene riconosciuto in tempo tramite un esame come l’ortopanoramica, spesso si può evitare l’estrazione. Questo è particolarmente importante nel caso di cisti croniche che, in silenzio, possono danneggiare le strutture circostanti.
L’esperienza dei nostri medici presso il centro Orto Nova dimostra quanto sia decisiva la diagnosi precoce. La nostra esperienza clinica si basa su oltre 16 anni di lavoro con i pazienti. Quando un cambiamento viene notato sull’immagine prima della comparsa del dolore, il recupero è molto più rapido e semplice.
Ortopanoramica e crescita dei denti: dai bambini ai denti del giudizio
Nei bambini e negli adolescenti, l’ortopanoramica svolge un ruolo chiave nel monitorare lo sviluppo. Mostra i germi dei denti permanenti e la loro direzione di eruzione. In questo modo, i genitori possono scoprire per tempo se il bambino avrà bisogno di un supporto ortodontico.
È particolarmente importante per i denti del giudizio, che spesso restano inclusi nell’osso (denti inclusi). L’ortopanoramica mostra chiaramente il loro rapporto con i nervi e con i denti vicini. In base a questo si decide se eseguire un’estrazione preventiva o monitorare la crescita. Se è previsto un apparecchio fisso, insieme alla teleradiografia si analizza lo sviluppo craniofacciale complessivo.
Sicurezza e procedura dell’esame

Molti pazienti si preoccupano delle radiazioni, ma l’ortopanoramica negli studi moderni utilizza dosi molto basse. La tecnologia digitale consente un’elevata qualità dell’immagine con un’esposizione minima. La sicurezza del paziente è sempre la priorità nel nostro centro.
La procedura è rapida, indolore e dura solo una decina di secondi. Il paziente resta in piedi e immobile mentre l’apparecchio ruota delicatamente intorno alla testa. Non ci sono sensazioni sgradevoli, aghi né tempi di recupero dopo l’esame.
- Rimuovere gioielli metallici e occhiali prima dell’esame.
- Mettersi in posizione eretta e mordere un apposito supporto seguendo le indicazioni del tecnico.
- Restare completamente fermi mentre l’apparecchio ruota lentamente intorno a voi.
- L’immagine è subito visibile sullo schermo del dentista per l’analisi.
Conclusione: un passo intelligente per un sorriso sano
L’ortopanoramica aiuta il dentista a vedere il quadro generale e a prendere decisioni più sicure. Dall’individuazione di infiammazioni alla preparazione per la diagnostica TC in implantologia, il suo ruolo è prezioso. Se ti chiedevi che cos’è l’ortopanoramica, ora sai che è uno strumento che fa risparmiare tempo e tutela la salute.
Quando si combina con tecnologie come la teleradiografia, si ottiene un controllo completo del trattamento ortodontico. Controlli regolari e diagnosi tempestive proteggono il sorriso nel tempo. Non lasciare la salute dei denti al caso quando le risposte sono a una sola immagine di distanza.
Vuoi effettuare una visita completa con diagnostica di alto livello? Prenota il tuo appuntamento presso il centro Orto Nova e assicurati la migliore cura per i tuoi denti. Il nostro team di specialisti ti spiegherà ogni dettaglio del tuo referto.



