Un lavoro fatto bene, una volta sola!
La tua sicurezza, per tutta la vita.
Clinica dentale leader in Croazia per pazienti italiani. Fino al 60% di risparmio, diagnosi e alloggio gratuiti, con garanzie scritte e assistenza nel tempo.
Non stai scegliendo una clinica.
Stai scegliendo sicurezza per gli anni che verranno.
Migliaia di pazienti italiani trattati con successo
Medici relatori e formatori riconosciuti a livello europeo
Centro d’Eccellenza per riabilitazioni complesse
Impianti zigomatici — Denti fissi anche senza osso
Orto Nova è partner e Centro di Eccellenza Zygomax
Gli standard più elevati al mondo sono ora disponibili anche ai nostri pazienti.
Il trattamento più caro è quello che devi rifare.
ITALIA
✅ Alta qualità
✖️ Costi alti
LOW COST CLINICS
✅ Prezzi bassi
✖️ Poco follow-up
✖️ Rischio rifare
ORTO NOVA
✅ Qualità Centro d’Eccellenza
✅ Fino al 30% risparmio
✅ Garanzie + controlli








Dopo l’intervento, restiamo la tua clinica.
PROGRAMMA “PACE A VITA”
- Garanzie scritte sugli impianti
Controlli annuali programmati
Monitoraggio e igiene nel tempo
Questo non è un servizio extra. È la nostra responsabilità.
Prima visita gratuita. Nessun obbligo di cura.
Molto più di un trattamento dentale. Un’esperienza completa, dal primo passo al risultato finale.
Orto Nova Experience è un protocollo avanzato, unico in Europa per l’integrazione completa di chirurgia esperta, tecnologie digitali e laboratorio interno.
Un flusso di lavoro sviluppato internamente e perfezionato su migliaia di casi clinici.
Posti limitati per febbraio.
Per mantenere i nostri elevati standard di qualità, l’offerta è valida per appuntamenti fissati tra il 05/02 e il 28/02/2026.
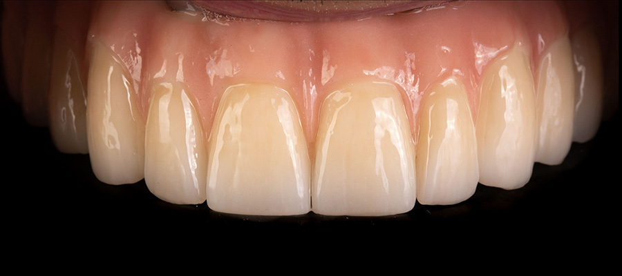
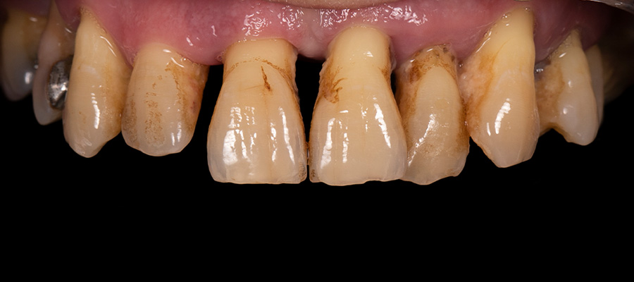
Risparmia sul costo del trattamento, ma non sulla qualità
Uno dei principali motivi per cui i pazienti italiani si rivolgono a noi è l’enorme risparmio finanziario che offriamo. I protocolli digitalizzati, i minori costi di gestione e una tassazione agevolata ci permettono di offrire prezzi fino al 60% più economici rispetto a quanto pagheresti in Italia per lo stesso trattamento.
In più, scegliendo Orto Nova potrai usufruire, in Italia, della detrazione fiscale del 19% per le spese mediche sostenute all’estero. All’Orto Nova puoi ricevere un servizio odontoiatrico di altissima qualità a prezzi accessibili.



