Il dolore a un dente a volte compare in modo discreto e sembra sopportabile. Poi, improvvisamente, arrivano pulsazioni, gonfiore, pressione nella mandibola e talvolta anche febbre. In quel momento non si parla più di un semplice mal di denti. Spesso, dietro questi sintomi, si nasconde un ascesso dentale, un’infezione che può diffondersi rapidamente e causare complicazioni serie se non trattata in tempo.
Un ascesso dentale non è qualcosa che “passa da solo”, né un problema che si possa coprire con antidolorifici sperando che sparisca. I farmaci possono ridurre i sintomi, ma non eliminano la fonte dell’infezione. Poiché nell’ascesso è presente pus intrappolato, il corpo raramente riesce a risolvere la situazione autonomamente. Ecco perché è fondamentale intervenire subito. Per questo si raccomanda una visita tempestiva presso centri come Orto Nova, dove questi casi vengono valutati e trattati senza ritardi.
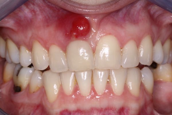
Cos’è un ascesso dentale?

Un ascesso dentale è un focolaio di infezione batterica in cui si accumula pus nei tessuti. Si sviluppa quando i batteri penetrano all’interno del dente o delle gengive. L’infezione può derivare da carie profonde, fratture dentali, infiammazione della polpa o malattie gengivali.
Quando i batteri si moltiplicano, il corpo attiva una risposta infiammatoria. Il risultato è pressione, gonfiore e dolore che può intensificarsi rapidamente.
Esistono diverse forme di ascesso:
- Ascesso periapicale, che si forma alla punta della radice, spesso dopo la necrosi del nervo.
- Ascesso parodontale, che interessa i tessuti di supporto del dente, tipico delle parodontiti avanzate.
In entrambi i casi è necessaria una terapia professionale, perché l’infezione può estendersi ai tessuti vicini, all’osso e, nei casi più gravi, anche al resto dell’organismo.
Perché si forma e chi è più a rischio?
La causa più frequente è una carie non trattata. Quando il danno si approfondisce, i batteri raggiungono il nervo, provocano infiammazione e poi un’infezione che si diffonde nel sistema radicolare.
Anche i traumi dentali sono un fattore comune. Una crepa può creare un passaggio per i batteri, anche se il dente sembra integro.
Il rischio aumenta in presenza di:
- igiene orale insufficiente
- fumo
- bocca secca
- consumo frequente di bevande zuccherate e snack
- malattie gengivali già presenti
È importante sapere che un ascesso può comparire anche in persone che curano bene i denti. A volte l’origine è nascosta, come una vecchia otturazione non più sigillante o una necrosi silenziosa dopo un urto.
Sintomi tipici da non ignorare
I sintomi possono variare da lieve sensibilità a dolore intenso e pulsante.
I segnali più comuni includono:
- dolore crescente che pulsa e può irradiarsi verso orecchio, collo o tempia
- gonfiore della gengiva o del viso
- sensazione di “dente alto”, fastidio alla chiusura
- sensibilità a caldo, freddo e pressione
- sapore sgradevole o alito cattivo
Se l’ascesso si rompe spontaneamente, può uscire pus e il dolore può diminuire temporaneamente. Questo non significa che il problema sia risolto. L’infezione resta presente.
Particolarmente pericolosi sono:
- febbre
- debolezza generale
- linfonodi ingrossati
- difficoltà ad aprire la bocca
- difficoltà a deglutire o respirare
In questi casi è necessaria un’assistenza urgente.
Perché l’ascesso dentale è un’emergenza?
Perché l’infezione non resta necessariamente confinata in un punto. Può diffondersi all’osso mandibolare, ai tessuti del viso e del collo. Nei casi più gravi può provocare infezioni profonde che mettono a rischio le vie respiratorie.
Esiste anche il rischio, raro ma serio, che i batteri entrino nel sangue.
La regola è semplice: un ascesso va considerato un problema urgente, soprattutto se compaiono febbre e sintomi sistemici.
Come avviene il trattamento odontoiatrico?
L’obiettivo della terapia è eliminare la causa dell’infezione e consentire il drenaggio del pus.
Il dentista inizia con visita clinica e radiografia, poi sceglie il trattamento più adatto.
Ascesso periapicale
Spesso richiede una terapia canalare (endodonzia), con pulizia e sigillatura dei canali radicolari. Se il dente non è recuperabile, può essere necessaria l’estrazione.
Ascesso parodontale
Il trattamento si concentra sulla pulizia delle tasche gengivali, rimozione del tartaro e drenaggio. In alcuni casi si pratica una piccola incisione per ridurre la pressione.
Gli antibiotici non sono sempre la prima scelta. Sono indicati quando l’infezione si diffonde, quando c’è febbre o quando non è possibile drenare subito. Devono essere assunti correttamente e fino alla fine, ma da soli non risolvono il problema se non si elimina la causa.
Cosa fare a casa prima della visita?
Le misure domestiche servono solo ad alleviare i sintomi, non a curare l’infezione.
Può aiutare:
- risciacqui con acqua tiepida e sale
- impacchi freddi sulla guancia per ridurre gonfiore
- analgesici abituali se sicuri per te
Da evitare:
- impacchi caldi, che possono favorire la diffusione dell’infiammazione
- tentativi di spremere o perforare l’ascesso da soli
Se hai difficoltà respiratorie, gonfiore rapido o febbre alta, rivolgiti subito a un pronto soccorso.
Domande frequenti e falsi miti
Molti pensano che l’ascesso sia passato quando il dolore diminuisce improvvisamente. Spesso significa che il nervo è morto o che il pus è fuoriuscito. L’infezione però resta e può tornare.
Un altro mito è che basti “un antibiotico più forte”. Senza drenaggio o cura del dente, l’effetto è spesso solo temporaneo.
Infine, rimandare per mancanza di tempo è rischioso. Con un ascesso, intervenire presto significa meno dolore, meno trattamenti e minori complicazioni.
Come prevenire un ascesso dentale

La prevenzione si basa su:
- igiene orale quotidiana accurata
- trattamento precoce di carie e malattie gengivali
- spazzolamento due volte al giorno
- pulizia interdentale ogni giorno
- controlli regolari dal dentista
Se noti sensibilità, sanguinamento gengivale, alito persistente o dolore al morso, agire presto può evitare un problema più serio.
Conclusione
L’ascesso dentale è una condizione grave che richiede un intervento rapido e professionale. Se avverti dolore pulsante, gonfiore, pus o febbre, non rimandare.
Un trattamento tempestivo riduce le complicazioni e spesso permette di salvare il dente. La scelta migliore è chiara: rivolgersi al dentista il prima possibile.



