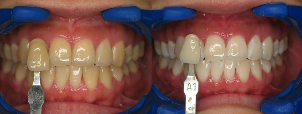
Lo sbiancamento dei denti è uno dei trattamenti estetici più richiesti in odontoiatria. Allo stesso tempo, è un argomento in cui i consigli online spesso mescolano verità, mezze verità e trucchi pensati per ottenere clic. Il risultato è confusione: alcune persone temono che lo sbiancamento rovini lo smalto, mentre altre credono che bastino pochi ingredienti “naturali” per ottenere lo stesso effetto di un trattamento professionale.
Qui di seguito trovate i miti più comuni spiegati in modo semplice. L’obiettivo è chiaro: decisioni più sicure, aspettative realistiche e meno rischi per denti e gengive, con un approccio come quello adottato anche in centri come Orto Nova, dove l’estetica viene sempre valutata insieme alla salute orale.
Perché i denti perdono luminosità con il tempo

Il colore dei denti non è solo una questione di “superficie”. Il dente ha uno smalto esterno e una dentina interna, naturalmente più giallastra. Quando lo smalto diventa più sottile (per invecchiamento, erosione acida, bruxismo o spazzolamento aggressivo), la dentina si nota di più e il dente appare più scuro.
Esistono poi macchie superficiali. Caffè, tè, vino rosso, salse scure e tabacco lasciano pigmentazioni che si accumulano sullo smalto. A volte già una pulizia professionale fa una grande differenza, perché rimuove tartaro e macchie esterne. Lo sbiancamento dentale ha un ruolo diverso: mira a schiarire il colore, non solo a “lucidare” le macchie.
Cosa funziona davvero nello sbiancamento dentale
Lo sbiancamento professionale e la maggior parte dei sistemi domiciliari controllati si basano sui perossidi (perossido di idrogeno o perossido di carbammide). La sostanza attiva penetra nei tessuti dentali e rompe chimicamente i composti pigmentati, facendo apparire il dente più chiaro.
Nota importante: lo sbiancamento agisce sulla struttura naturale del dente. Otturazioni, corone, faccette e altri materiali protesici non si schiariscono allo stesso modo.
Miti e verità che creano più dubbi
Mito 1: lo sbiancamento rovinerà sempre lo smalto
Uno sbiancamento ben pianificato e controllato dal dentista di solito non richiede la rimozione di struttura dentale. Non si tratta di limare lo smalto, ma di un processo chimico di schiarimento.
I problemi nascono soprattutto da eccessi, uso scorretto o prodotti di origine incerta. Applicazioni troppo frequenti o troppo aggressive possono irritare le gengive, aumentare la sensibilità e contribuire a danni dello smalto.
Conclusione pratica: la sicurezza dipende dalla diagnosi, dalla scelta della tecnica, dal dosaggio e dalla disciplina.
Mito 2: se non fa male, non funziona
La sensibilità è comune, ma non è obbligatoria. Molti avvertono un leggero pizzicore o una sensazione di “scarica”, soprattutto con il freddo. Di solito si risolve in pochi giorni. Con metodi domiciliari o gel più forti, la sensibilità può comparire più spesso e può verificarsi irritazione della mucosa orale.
Se compare dolore intenso, bruciore persistente o forte irritazione gengivale, non è un “segno che funziona”, ma un segnale per interrompere e controllare la causa.
Mito 3: lo sbiancamento schiarisce anche otturazioni e corone
Questa è una delle convinzioni più sbagliate. Lo sbiancamento non cambia il colore delle otturazioni in composito, delle corone in ceramica o delle faccette.
Se nella zona visibile ci sono molte ricostruzioni, dopo lo sbiancamento può emergere una differenza di colore. Per questo spesso il dentista pianifica prima lo sbiancamento e, se necessario, sostituisce poi le otturazioni visibili per armonizzarle alla nuova tonalità.
Mito 4: concentrazione più alta e tempi più lunghi danno sempre risultati migliori
Più non significa automaticamente meglio. Concentrazioni elevate e tempi eccessivi aumentano il rischio di sensibilità e irritazione. Questi sono tra gli effetti collaterali più frequenti, soprattutto con prodotti molto forti.
Lo sbiancamento è un processo in cui conta la dose giusta al momento giusto, non l’estremo. Un buon piano prevede spesso più sessioni brevi con pause sufficienti per permettere ai denti di stabilizzarsi.
Mito 5: il metodo “naturale” è sempre più sicuro
Limone, aceto, carbone e altri trucchi sono popolari perché sembrano semplici. In pratica, gli acidi possono aumentare l’erosione dello smalto, mentre il carbone è spesso abrasivo e agisce come una levigatura aggressiva.
Il dente può apparire più chiaro perché si rimuove uno strato superficiale di pigmentazione, ma aumenta anche la rugosità dello smalto, accelerando future macchie.
Le soluzioni naturali ignorano spesso la domanda principale: qual è la causa dell’ingiallimento? Se lo smalto è sottile o la discromia è interna, strofinare non risolve il problema.
Mito 6: il dentifricio sbiancante è come lo sbiancamento professionale
I dentifrici sbiancanti agiscono soprattutto sulle macchie superficiali e sulla lucidatura visiva. Non funzionano come i gel a base di perossido che schiariscono dall’interno.
Questo non significa che siano inutili. Possono essere utili per mantenere l’aspetto, ma non bisogna aspettarsi lo stesso effetto di un trattamento in studio. È importante anche valutare l’abrasività, quindi è sensato chiedere consiglio al dentista.
Mito 7: il risultato dura per sempre
Lo sbiancamento non è un cambiamento permanente. Nel tempo la tonalità può in parte tornare, soprattutto per dieta, abitudini e modifiche naturali dello smalto. In alcune persone l’effetto dura più a lungo, in altre meno.
Il mantenimento include igiene accurata, pulizie regolari e, se previsto, piccoli ritocchi periodici secondo il piano del dentista.
Mito 8: lo sbiancamento va bene per tutti
Prima di sbiancare serve sempre una visita. Carie, crepe, gengive infiammate o colletti dentali esposti aumentano sensibilità e rischio di irritazione.
Per i minori di 18 anni valgono regole più rigide sui prodotti più forti, quindi è indispensabile la supervisione specialistica. In gravidanza e durante l’allattamento spesso si consiglia prudenza e rinvio, perché si tratta di un trattamento estetico e i dentisti preferiscono un approccio più conservativo.
Come scegliere un percorso più sicuro verso denti più bianchi

L’approccio più intelligente inizia dalla valutazione del motivo per cui i denti si sono scuriti. A volte la causa è semplicemente tartaro e macchie superficiali, e una pulizia professionale può offrire un risultato sorprendente.
Se si decide per lo sbiancamento, la scelta della tecnica deve considerare sensibilità, stato dello smalto, presenza di otturazioni e tonalità desiderata. Uno sbiancamento ben guidato offre i migliori risultati con il minimo rischio.



